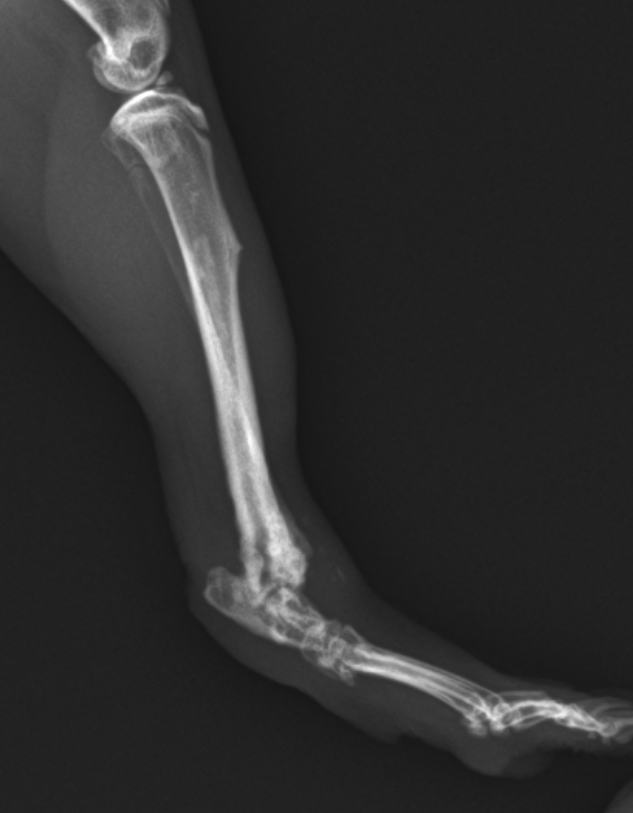
モルモットが後肢をかばっている(後肢:脛骨の骨折) 公開済み: 2024年11月12日更新: 2025年11月2日作成者: koizumi-nest モルモットの骨折は、特に後肢の脛骨(すねの部分)においてよく発生します。 特に若いモルちゃんによく見られるように感じられます。 骨折の仕方によって、手術による整復と固定を実施する必要があります。 モルモットの脛骨の骨折レントゲン写真。 踵関節の近くで骨折しています。整復・固定手術を行いました。 手術し、ギプス固定した後のレントゲン写真。 固定を外した後のレントゲン写真。 良好に骨癒合しており、これで治療は終了となりました。