ゴールデンハムスターの陰部から血が出ている(子宮腫瘍)
(本稿は手術写真を含みます。苦手な方はご注意下さい。)
ハムスターさんは子宮の病気が多いことが知られています。
典型的な症状はおしっこに血が混ざることですが、おなかの張りや元気食欲の低下も同時によく見られます。
子宮に膿が溜まる子宮蓄膿症や、子宮腫瘍がよく発生します。
完治を目標とする場合には手術による摘出を実施する必要があります。
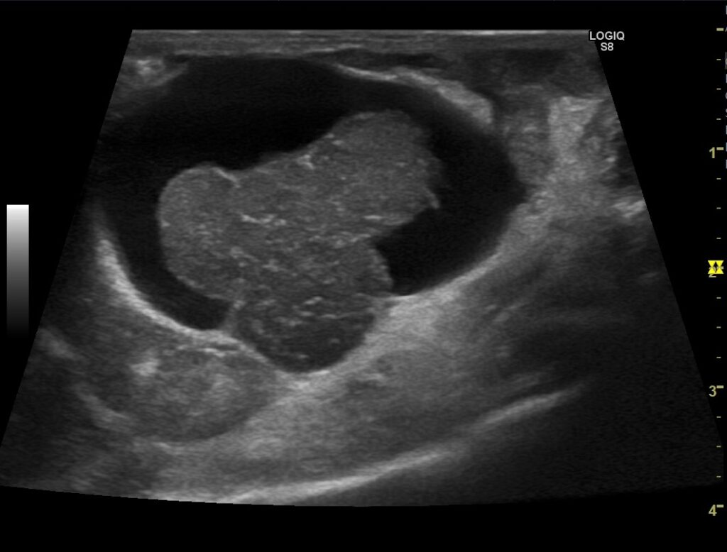
子宮の病気は多くの場合、超音波検査によって発見することができます。

超音波検査によって発見されたゴールデンハムスターの子宮腫瘍の画像。

手術によって摘出されたゴールデンハムスターの子宮および卵巣腫瘍。
術後経過は良好で、頑張って元気になってくれました。
